Air Abrasion
What is Air Abrasion?

Air Abrasion is a gentle spray of an air & powder mix that removes tooth decay
Does Air Abrasion hurt?
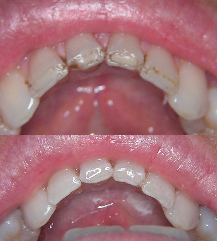
Almost never. By controlling the amout of powder & air pressure, we can make the procedure virtually painless so making needles & numb lips unnecessary in most cases. Air Abrasion is very “gentle” on the tooth. The thin spray of powder removes only a minimal section of tooth ~ only the decayed area. Generally until now the only tool available to the dentist was the drill. The drill removes both decay & healthy tooth using a quickly rotating drill head. Drills, in comparison to Abrasion, remove a lot more tooth structure. Also the rotating motion of the drill head “crazes” enamel creating lots of tiny fractures which over the years can cause tooth fractures. Air Abrasion does not do this. This ability to remove decay in a minimally invasive way is part of what is called Micro Dentistry. Micro dentistry is the philosophy & practice of finding & treating decay as early as possible, of removing as little tooth structure as possible (using Air Abrasion technology), of making the smallest possible restorations & assuring that those restorations are aesthetically pleasing & long lasting.

What should I know about early detection & treatment of tooth decay?
At the slightest hint of tooth decay I use a tooth decay detection dye. This dye is placed on the supsect area of the tooth. After rinsing the area with water any active decay present is stained bright pink. At this point I can treat the area appropriately. The end result is removal of the active decay & restoration of the area with a strong, long lasting, nearly invisible, mercury free, tooth coloured composite resin filling.

Can children as well as adults benefit from Air Abrasion?
Yes. Not only can I restore decayed teeth using this technology but also air abrasion is excellent for preparing a tooth prior to fissure sealant placement. These fissure sealants are “bullet proof” & do not fall out.

What is a sealant restoration?
To answer this you need to know what a tooth fissure is. Fissures are the nooks & crannies on the biting surfaces of the permanent “chewing” teeth (molars & premolars). These areas help the chewing process to mash up your food. These areas commonly decay as food gets trapped in them. Tooth brush bristles aren’t long enough or thin enough to remove this food.The food stagnates & the decay process begins. Using air abrasion technology & plaque & decay detecting dye, it is now possible to thoroughly clean these pits & fissures ensuring there is no decay ors food debris present. The fissure is then sealed with a long lasting, flowable, light cured white filling material.









