Dental Bridges
All our Dentists provide Bridges
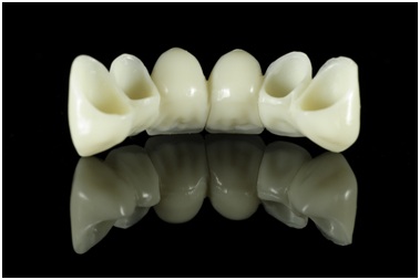
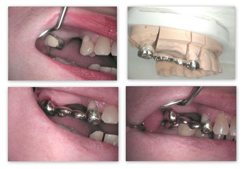
What is a bridge?
A bridge is a cast restoration used to replace a missing tooth. It is cemented onto adjacent teeth & generally cannot be removed. Commonly teeth on either side of the gap are prepared for crowns. The false tooth is fused to these crowns. The whole thing is cemented in place.

A crown is a “thimble” of porcelain or precious metal that raps over & around a tooth. Prior to this the tooth needs to be shaped like a blunt cone to allow space for the crown or in the case the part of the bridge to be cemented over it.
















