Dental Implants
Dental implants are a natural-looking tooth replacement option generally replacing the tooth root with a surgical grade titanium screw. Onto this, natural looking crowns and bridgework can be constructed. In many cases dental implants are the optimum treatment option to replace a tooth or teeth lost following an accident or through gum infection or decay.

If you are interested in Dental Implants please book in with Andrea .

If you are interested in replacing a tooth or teeth that cannot be saved or a tooth or teeth that are already missing here are your options a
1. removable partial denture
2. fixed bridge
3. dental implant
Option 1 - Removable partial denture
This can be anything from a
a) budget acrylic denture (a piece of plastic with a false tooth attached) or
b) much smaller discrete flexible partial denture made of Valaplast or
c) metal framed Cobalt Chromium or Titanium partial denture with pink gum coloured plastic/acrylic & teeth masking the metal work
d) metal framed denture as above that is held in place with precision attachments that connect to adjacent teeth that have been crowned/capped with special grooves and or componentry incorporated into the crown design – the partial denture slots or clicks into this
Budget acrylic denture
Dentists can replace a tooth very quickly by fabricating a single tooth budget denture – nb more teeth can be put on a denture if more teeth are missing. This kind of denture is much like an orthodontic retainer with one or two teeth; it may have a couple of wire clips that hold it onto other teeth. These types of denture are mostly easy to wear and care for, and they repair the patient’s appearance. Most people are not happy with their ability to chew with this type of denture in place, so they remove it when eating. Some have trouble talking with the denture at first, but speech improves with practice. This is the least expensive way to replace a tooth. Some patients will live with a denture like this for years before replacing it with a more permanent false tooth such as a bridge or dental implant or a more precisely fitting denture.
Valplast denture
The small flexible Valplast denture can also be fabricated quickly. With its discrete flexible gum coloured clasps that help hold the appliance securely in the mouth & its smaller size, this type of denture has dramatically changed the short to medium term options available for those with missing teeth. In my experience (Andrea), for those who could not tolerate a budget acrylic denture the Valplast option has been a great alternative
Chrome Cobalt or Titanium dentureThe metal frame work Chrome Cobalt or Titanium denture with or without precision attachments options is a more long term solution
Option 2 - Fixed porcelain bridge
In general a bridge is like having three crowns. In some cases these bridges can be made out of porcelain. In other cases to help save tooth a metal fused to porcelain bridge is a better option nb you don’t generally see any metal, just the porcelain. The teeth on either side of the missing tooth are prepared for crowns, an impression is made, and this is sent to a dental technician. The technician then makes the crowns and fuses a false porcelain tooth between the two crowns – this is a 3 unit bridge. The advantages of a bridge are that it is cemented in place and is therefore not removable. It is stable, and feels similar to your own teeth. In most cases it can be made to look like you never had a tooth missing. The disadvantage is that you have to treat two teeth besides the one that was extracted – these teeth may otherwise be perfectly sound & ordinarily not require crowns
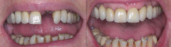
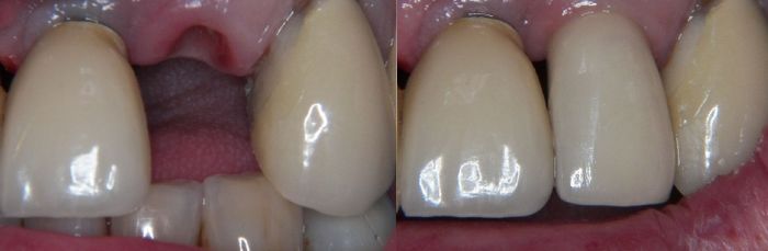
Option 3 - Dental Implant
Dental implants are a natural-looking tooth replacement option generally replacing the tooth root with a surgical grade titanium screw. Onto this natural looking crowns and bridgework can be constructed. In many cases dental implants are the optimum treatment option to replace a tooth or teeth lost following an accident or through gum infection or decay. Dental implants can:
• replace a single tooth or multiple teeth without damaging or affecting adjacent teeth
• be used as “anchors” or supports for dental bridges or replace a partial denture
• with special attachments on the top support or secure upper or lower dentures with the denture clicking into place
Implants can provide you with increased confidence and freedom by restoring that gap in your smile or that denture which is always moving or difficult to eat with. In many cases dental implant teeth can be made to look and feel like your own teeth. With the correct maintenance program & when conditions are right dental implants can last a lifetime. On-going studies show that dental implant placements generally exhibit predictable and excellent success rates.
The advantages of an implant are:
• No teeth on either side of the missing tooth are touched.
• In most cases implants look & feel just like a new healthy tooth
• Implants can also span a wider gap replacing multiple teeth.









