Tooth Veneers
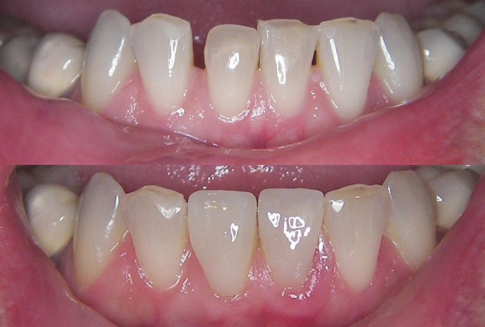
Tooth veneers are thin slivers of porcelain or composite resin which are permanently cemented to the front teeth. They can dramatically improve the appearance of teeth that are broken, chipped, misshaped, crooked, stained or discoloured. They are also great for closing gaps between teeth. Tooth veneers take up very little space thus only a small amount of tooth is removed to allow room for them. They work along the same lines as a false finger nail, masking the problem area. See below for before and after cases
All our Dentists provide tooth veneers. If you are interested in “Same Day CAD/CAM dental crowns & tooth veneers” please book in with Andrea or Ali.














