We at Milford Dentists are a Mercury Amalgam FREE practice since 1999
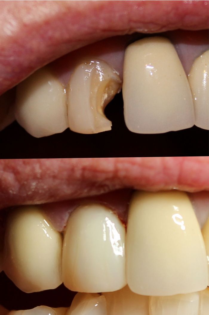
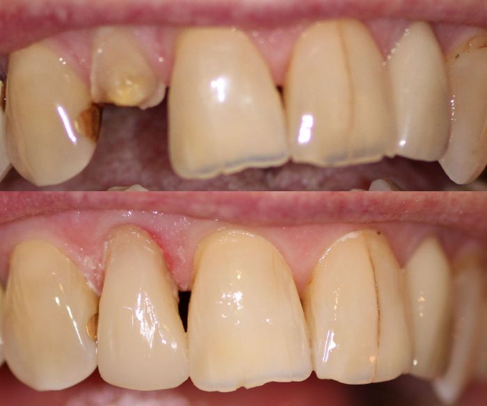
What is composite resin?

This filling material is a combination of tiny glass beads mixed in a plastic “gloop”. Composite resin these days is generally set hard using a high intensity blue light. This light is shone on to the material thus catalysing the setting reaction. There are many tooth-coloured shades which are matched to the shade of your teeth creating natural looking, virtually invisible, long lasting fillings.
How long do fillings last?
This is a “how long is a piece of string type question” & is impossible to answer. Many fillings last many years & some don’t last long enough. There are many factors that affect the longevity of a filling. For example a small filling will generally last longer than a large filling because there is less to go wrong with it. Some of the other factors affecting a fillings life are ~ material used, operator skill, patients diet, number of surfaces of the tooth involved, age, saliva flow & position in the tooth.
There is some debate at the moment about the “safety” of dental amalgam. Is it safe & should I have my amalgams replaced with an alternative material?
This seems to be a hot topic at present. There are several opinions on this issue. The mainstream “conventional medical” opinion is that dental amalgam is generally safe. I (Andrea) believe that now there are physically superior alternatives to dental amalgam & I have therefore stopped using it. The opinion from those involved with “complimentary” medicine is that dental amalgam is unsafe & such fillings should be replaced with “safe” alternatives. If you want your amalgam fillings removed because you feel this material is unsafe I am happy at your request to arrange their removal under rubber dam with piped oxygen. Please consult your alternative health care about this. I am happy to work with them to achieve what you require

What is dental amalgam?
Amalgam is stable mix of mercury, copper, tin & silver
What are the physical problems with dental amalgam.
Amalgam has been used successfully for over a hundred years to restore teeth. Until recently I believed it was the best material for this. Now I believe that composite resin is a better filling material. Whilst amalgam is a good filling material it has certain physical properties that aren’t ideal. Some of these would be -
-
It is unsightly.
-
Because it is a metal it conducts temperature sensation like a radiator to the nerve in the center of the tooth far too quickly causing “hot & cold” sensitivity.
-
Over the years it gets “squashed” into the tooth during daily chewing, this spreading of amalgam (called “creep”) creates pressure fractures in the tooth leading to sharp pain on chewing (cracked cusp syndrome) & or bits of your teeth literally fracturing off. This tooth fracturing usually occurs, rather illogically, whilst eating something innocuous like soft bread.
-
Creep also creates overhangs on fillings leading to food trapping & secondary decay.
-











